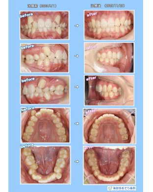
マウスピース矯正症例

キレイに並びましたね☆
お疲れさまでした♪
☆治療期間
2年6ヶ月
☆治療費用
825,000円(税込)
☆リスク
歯を動かすためには1日22時間以上の装着が必要です。
※写真掲載許可あり
******************************
【診療時間】
月・火・木・金・土 9:00~13:00 14:00~18:00
水 休診 祝日のある週は終日診療あり
【休診日】
水・日・祝日
インスタ/アメブロもご覧ください♪
******************************