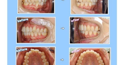
子供のマウスピース矯正症例
キレイにならびました♪
頑張りましたね^^

☆治療内容
インビザラインファースト による小児矯正治療
☆治療期間
1年半
☆治療費用
495,000円(税込)
☆リスク
歯を動かすためには1日22時間以上の装着が必要です
※写真掲載許可あり
******************************
【診療時間】
月・火・木・金 9:00~13:00 14:30~18:30
水 休診 (祝日のある週は終日診療あり)
土 9:00~13:00 14:00~18:00
2025年4月より
月・火・木・金・土 9:00~13:00 14:00~18:00
水 休診 祝日のある週は終日診療あり
【休診日】
水・日・祝日
アメブロもよろしくお願いします↓↓
.png)
******************************