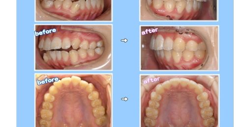
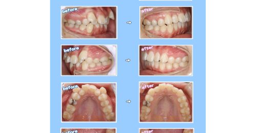
スタッフM子のインビザライン装着日誌7
スタッフM子のインビザライン装着日誌7を
アメブロにアップしました。
マウスピース矯正に興味のある方は是非ご覧ください。

******************************
【診療時間】
月・火・木・金 9:00~13:00 14:30~18:30
水 休診(祝日のある週は終日診療あり)
土 9:00~13:00 14:00~18:00
【休診日】
水・日・祝日
アメブロもよろしくお願いします↓↓
.png)
******************************